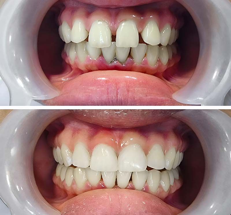
If you have chipped, cracked, discolored, or slightly misaligned teeth, cosmetic bonding is a simple, painless, and affordable solution to improve your smile. At Sleep Dentistry, we offer professional cosmetic bonding in Portland, OR, and Vancouver, WA, giving you a natural-looking, confident smile in just one visit.
Cosmetic bonding is a minimally invasive dental procedure that uses tooth-colored composite resin to repair and enhance teeth. The resin is shaped and polished to match your natural teeth, providing an instant improvement in appearance.
✔ Quick & Painless – Completed in one visit with little to no discomfort.
✔ Affordable Alternative to Veneers – Enhances your smile at a lower cost.
✔ Natural Appearance – The composite resin blends seamlessly with your natural teeth.
✔ Preserves Natural Tooth Structure – Requires minimal enamel removal.
✔ Fixes Multiple Cosmetic Concerns – Ideal for chipped, stained, gapped, or slightly misaligned teeth.
✔ Long-Lasting Results – With proper care, bonding last 5-10 years.
Cosmetic bonding is a versatile solution that can address:
✔ Chipped or cracked teeth
✔ Discoloration or stains
✔ Gaps between teeth
✔ Slightly misshapen or uneven teeth
✔ Exposed tooth roots from gum recession
Cosmetic bonding is ideal for patients who:
✔ Want a quick and affordable way to enhance their smile.
✔ Have minor cosmetic flaws such as chips, stains, or gaps.
✔ Prefer a non-invasive alternative to veneers or crowns.
✔ Need immediate results with no downtime.
For more extensive smile transformations, treatments like veneers or orthodontics may be recommended.
We begin with a consultation to evaluate your smile and select the perfect shade of composite resin to match your natural teeth.
✔ The tooth is lightly etched and conditioned to help the bonding material adhere.
✔ Anesthesia is not usually required, unless the bonding is being used for a cavity repair.
✔ The tooth-colored resin is applied, sculpted, and shaped to enhance the tooth’s appearance.
✔ A curing light hardens the material for a strong and durable bond.
✔ The bonded tooth is smoothed and polished for a natural shine.
✔ Adjustments are made to ensure a comfortable bite and perfect finish.
✔ Practice good oral hygiene by brushing and flossing daily.
✔ Avoid biting hard objects (ice, pens, fingernails) to prevent chipping.
✔ Limit stain-causing foods and drinks like coffee, tea, and red wine.
✔ Visit your dentist regularly to maintain and touch up your bonding as needed.
Cosmetic bonding is an easy, affordable, and painless way to transform your smile. At Sleep Dentistry, we provide an expert application and beautiful, natural-looking results.
Schedule your cosmetic bonding consultation today at our Portland, OR, or Vancouver, WA locations and achieve the smile you’ve always wanted!
19265 SE Stark St, Ste
Portland, OR 97233
Monday 7:30AM–5PM
Tuesday 7:30AM–5PM
Wednesday 7:30AM–5PM
Thursday 7:30AM–5PM
Friday 7:30AM–5PM
Saturday Closed
Sunday Closed
7202 NE Hwy 99, Ste 100 Vancouver, WA 98665
Monday 7:30AM–5PM
Tuesday 7:30AM–5PM
Wednesday 7:30AM–5PM
Thursday 7:30AM–5PM
Friday 7:30AM–5PM
Saturday Closed
Sunday Closed
1821 SE 192nd Ave, Ste 200 Camas, WA 98607
Monday 7:30AM–5PM
Tuesday 7:30AM–5PM
Wednesday 7:30AM–5PM
Thursday 7:30AM–5PM
Friday 7:30AM–5PM
Saturday Closed
Sunday Closed
© Sleep dentistry 2026